Így távolíthatjuk el a fogkövet, anélkül, hogy fogorvoshoz mennénk!

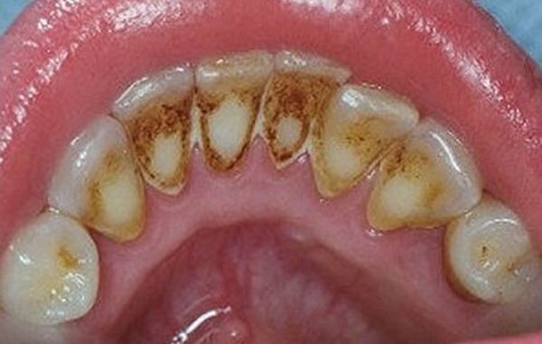
Ajánlatos fogorvoshoz menni minél gyakrabban, így megelőzhetjük a kialakuló problémákat. A fogkő eltávolítása szakember feladata, azonban ennek megelőzésére vagy kezdetleges állapotban való eltüntetésére létezik néhány otthoni bevált recept is.

Próbáljuk ki, hiszen így könnyedén megszabadulhatunk a sok más problémát is kiváltó fogkőtől.

Íme, a leghatásosabb módszerek:

1. Helyes fogmosás: fontos, hogy odafigyeljünk a fogmosás minőségi és mennyiségi oldalára is. Moshatunk fogat egy nap számtalanszor, de be kell tartanunk néhány kötelező módszert, mert különben csak idő és fogkrém pocsékolás az egész. Az amerikai fogászati szövetség szerint az a legjobb, ha az ínyre 45 fokos szögben tartjuk a fogkefét, és először lefelé, majd a felfele mozgatásra koncentrálunk.

2. Szódabikarbóna: segít eltávolítani a legmakacsabb lerakódásokat. Tegyünk egy kevés szódabikarbónát a megnedvesített fogkefére, majd így dörzsöljük meg a fogat és az ínyt is. Ha egy csipet sót is adunk a szódabikarbónához még hatásosabb a módszer.

3. Almaecet: áztassuk a fogkefét használat előtt almaecetbe. Utána öblítsük ki a szájüreget, nehogy megsérüljön a fogzománc.

4. Készítsük el az alábbi keveréket: 4 teáskanál napraforgómagot, 4 teáskanál hársvirágot forraljunk fel egy liter vízben, főzzük egy fél órán keresztül, majd hagyjuk állni egy keveset. Étkezések után mossunk fogat a keverék felhasználásával.

Ha tetszett ez a bejegyzés, értékeld azzal, hogy megosztod a Facebookon! Köszönjük! 👍🙏