FIGYELEM: Ez a cikk olyan képeket tartalmaz, amely zavaró lehet egyes emberek számára.
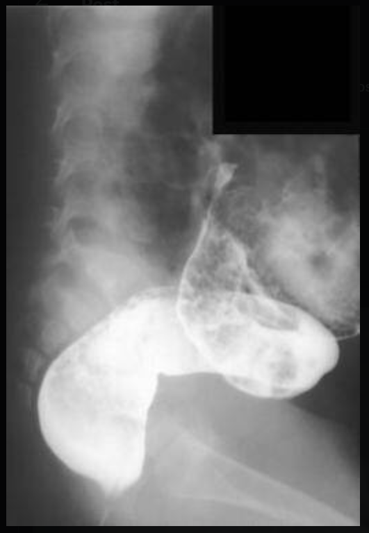
Egy Sanghaj-i fiatalember már évek óta székrekedésre panaszkodott, azonban sokáig nem vette komolyan. Az orvos aki korábban megvizsgálta, azt mondta, hogy egy veleszületett betegségben szenved és nem lehet segíteni rajta. Azt feltételezték róla, hogy úgynevezett megacolon betegségben szenved, amely egy veleszületett vastagbél betegség, aminek lényege, hogy hiányoznak a végbél falában lévő idegvégződések, így a széklelési reflex is hiányzik, emiatt pedig lehetetlen a normális székletürítés.

A férfinek végül hashajtót írtak fel, amit rendszeresen szedett, de aliha segített rajta. Néhány év elteltével a gyomra annyira megduzzadt, hogy egyre jobban hasonlított egy 9 hónapos terhes nőhöz.
Miután évekig gyötrődött, a férfi úgy döntött, hogy megteszi a felszabadító lépést és megoperáltatja magát. Dr. Yin Lu, a Sanghaj-i kórház egyik orvosának sikerült eltávolítania az eltömődött bél egy részét.
Még a gyakorlott sebészt is sokkolta annak a látványa, amit kihúzott a beteg férfi gyomrából. Az eltömődött bél hossza 76 centiméteres volt és súlya meghaladta a 13 kilót.
Dr. Lu elmondása szerint bármikor fennált annak a veszélye, hogy a bél felrobbanjon. Micsoda szörnyű felfedezés. Hihetetlen, hogy mi van egyes emberek gyomrában.
A fiatal férfi minden bizonnyal hihetetlenül megkönnyebbült, hiszen sikerült megszabadulnia ettől a tehertől. Reméljük, hogy hamarosan felépül, és visszanyeri az egészségét!